
Ортодонты клиники Telo’s Beauty подсчитали, что 80% москвичей, сталкивающихся с процедурой исправления прикуса, предпочитают керамические брекеты.
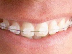
В современной стоматологии применяются несколько видов брекетов, которые различаются материалом: металлические, керамические и сапфировые брекет-системы. Каждый из них имеет свои плюсы и минусы.
Во-первых, использование керамических брекетов дает максимальный эффект. Керамика не ломается, она гиппоаллергенна, что позволяет начать лечение даже в детском возрасте.
Во-вторых, опять же за счет использования керамики, такие брекеты максимально безопасны: округлая форма не может при использовании повредить слизистую окружающих тканей, а при снятии и установке гарантирована сохранность эмали зубов.
Керамические брекеты, а также ортодонтическую дугу, на которую они крепятся, можно окрасить в любой цвет. Пациенты предпочитают цвет собственной зубной эмали, чтобы брекеты были наименее заметны.
Современные керамические брекеты изготавливаются из материала, который не поддается пищевым красителям (кофе, чай, вино). А это значит, что они останутся белоснежными до окончания курса лечения.
Еще одним плюсом, который говорит в пользу керамических брекетов, является легкость в уходе после установки. От пациента требуется только тщательное соблюдение обычных мер гигиены.
Выбор профессионального врача и клиники может сделать коррекцию прикуса максимально эффективной и безопасной. Врачи-ортодонты клиники Telo’s Beauty проведут полный осмотр, установят степень нарушения прикуса, подберут и установят подходящую брекет-систему.
Источник: stomatologia.telosbeauty.ru
